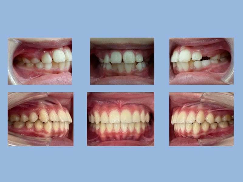
兒童早期矯正案例
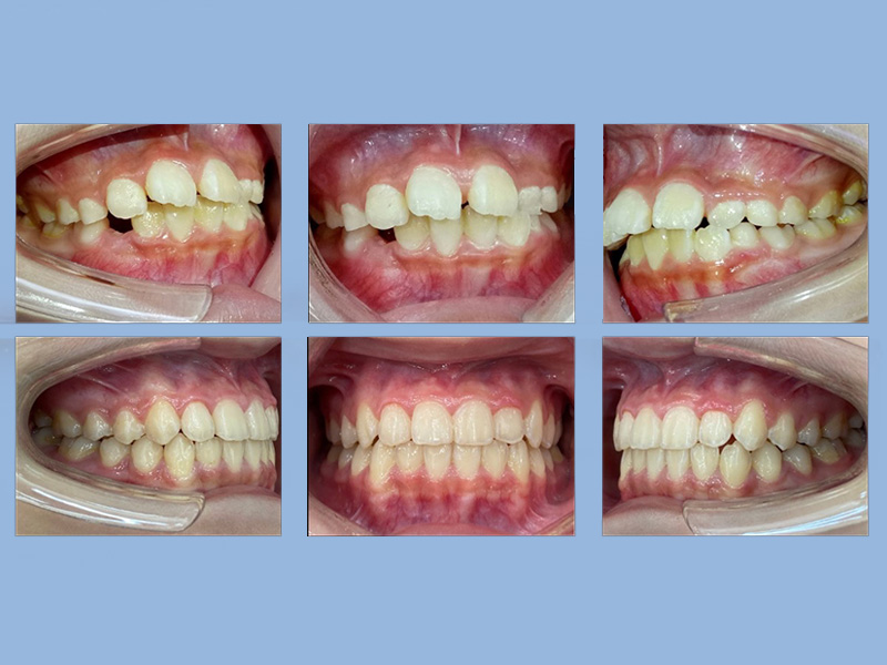
鍾小妹妹 (7歲) 『兒童早期療程』矯正完成
狀態 : 暴牙、擠、沒拔牙
.jpg)

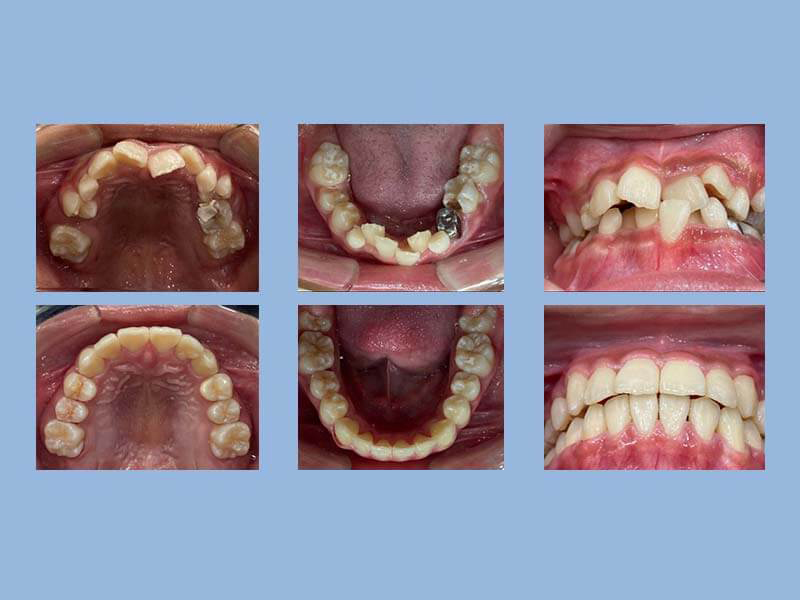
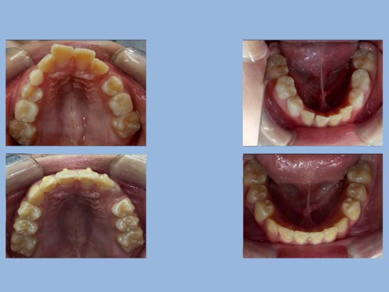
李小妹妹 (8歲) 『兒童早期療程』前牙矯正完成
狀態 : 前牙戽斗、沒拔牙


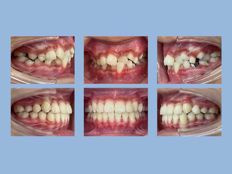
徐小弟弟 (8歲) 『兒童早期療程』矯正完成
狀態 : 戽斗、沒拔牙


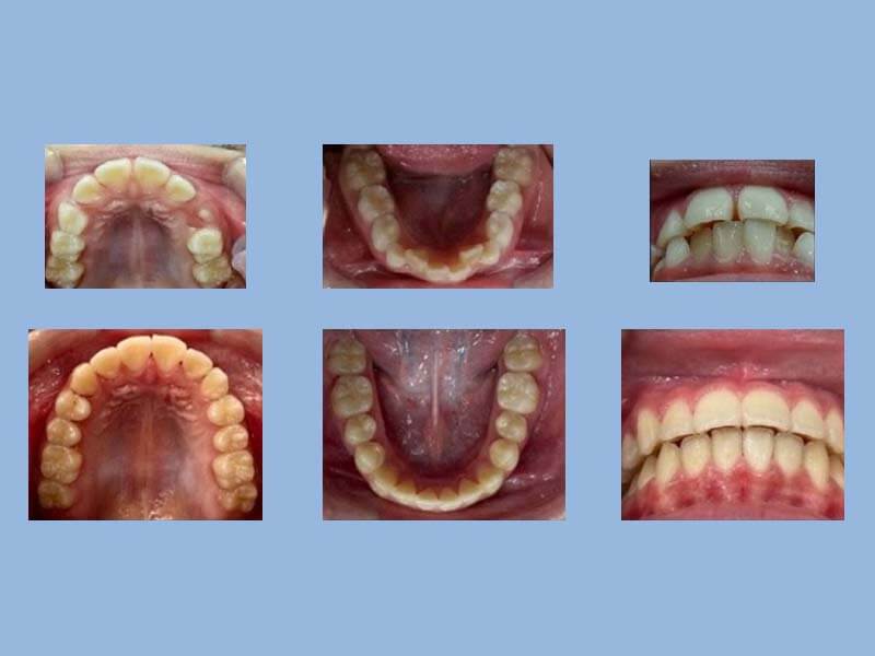
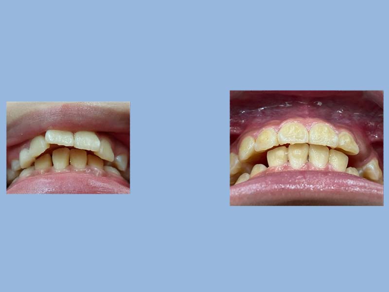
崔小妹妹 (10歲) 『兒童早期療程』矯正完成
狀態 : 暴牙、很擠很亂、沒拔牙


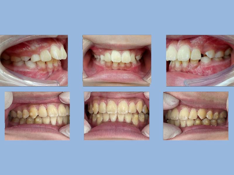
邱小妹妹 (10歲) 矯正完成
狀態 : 上門牙很大顆、下門牙很擠、沒拔牙


林小弟 (10-11歲) 『兒童早期療程』,目前二階矯正中
狀態 : 暴牙、很多縫、沒拔牙



邱小弟弟 (11歲) 『兒童早期療程』第一套完成、第二套微調中
狀態 : 拔右上左上第一小臼齒


邱小弟弟 (12歲) 『兒童早期療程』矯正完成
狀態 : 沒拔牙








