診所特點:
1. 感染控制一級棒
2. 疫調完整,看診安心
3. 預約制,縮短現場等待時間
4. 團隊服務專業
5. 數百位隱適美病人見證
6. 連續六年獲獎隱適美白金菁英級醫師
7. 地點方便
8. 停車方便
~恭賀古佳怡院長~
#連續
六年(2019-2024)榮獲隱適美白金菁英級醫師獎座
大家可能不知道隱適美醫生也有分等級
醫生等級會影響矯正成果嗎
首先,要成為隱適美矯正醫師,需完成相關課程並通過嚴格的審查,才能取得合格證照,也需要就技術新知參與定期研討會。接下來才會以每年治療新客戶的案例數,來劃分醫師等級。持續治療的客戶不會被重複計算,等同於是對 #醫師經驗值 的評比。
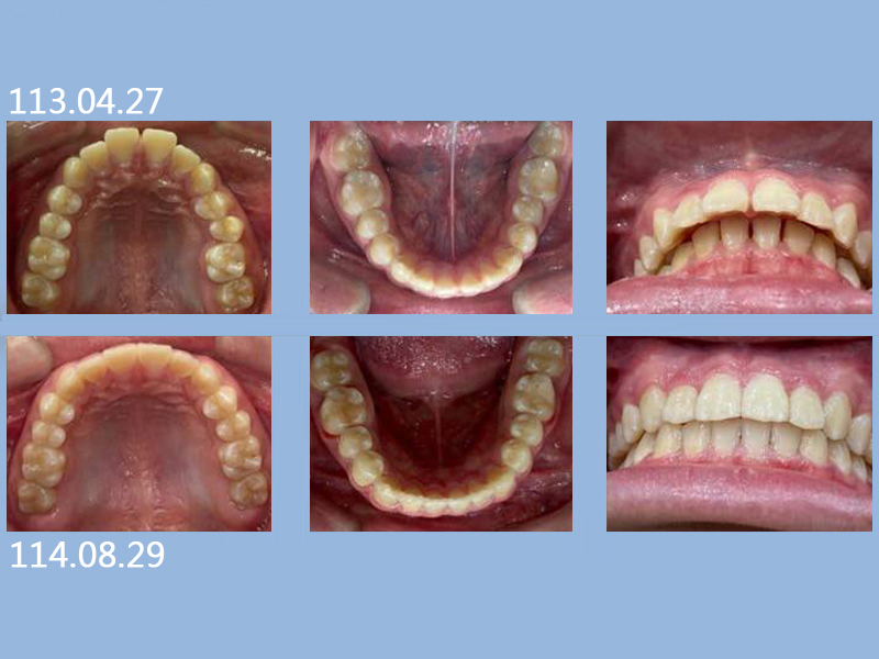
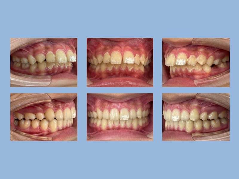
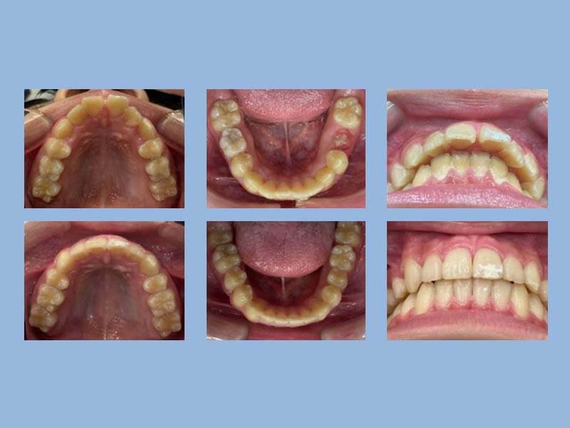
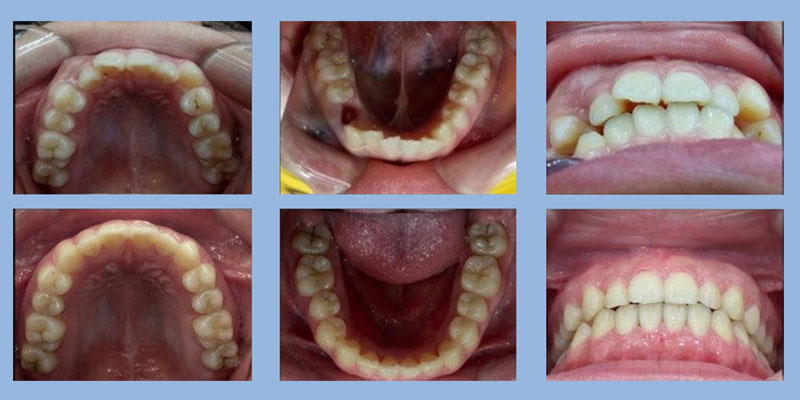
古院長不僅是每年新病例數達80位以上的 #隱適美白金精英級,更是 #中壢區 排名數一數二矯正醫師,矯正前需先給醫師評估後,再制定專屬客製的矯正計畫,搭配3D口內掃描機,影像資訊透過全球同步的數據計算,矯正者可以清楚了解牙齒每週位移的軌跡。
同時,醫師從影像中做技術評估,設計以隱適美豆豆、局部鋼絲、拉橡皮筋等工具,確實且正確的達到矯正進度。要完成整體牙齒外觀的整齊度,以及完美的咬合結果,憑藉著經驗值高的醫師專業判斷。
連續
六年(2019-2024)受到新客戶肯定的院長,不僅是您牙齒居家護理的守護者,同時也是齒列矯正計畫的不二人選。全球超過一千萬人選擇隱適美,在家換牙套就能變美麗,快來 #佳禾牙醫 評估您的蛻變之路喔!