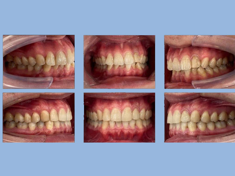
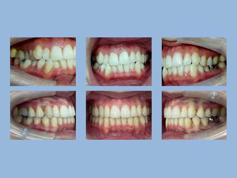
成人矯正案例-全套 不拔牙 暴牙
余先生 (20歲) 矯正完成
狀態 : 第二套完成照、暴牙、牙齒擠、沒拔牙


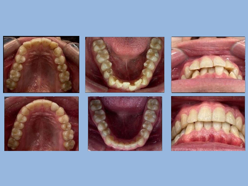
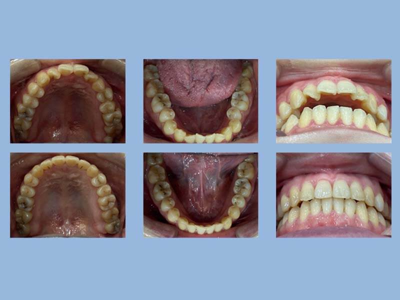
湯先生 (21歲) 矯正完成
狀態 : 牙齒暴和擁擠、沒拔牙


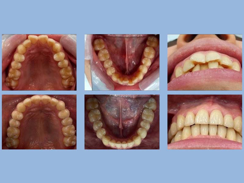
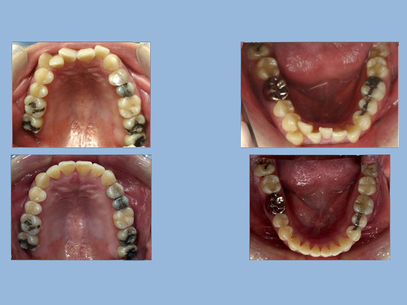
王先生 (22歲) 矯正完成
狀態 : 暴牙、擠、沒拔牙


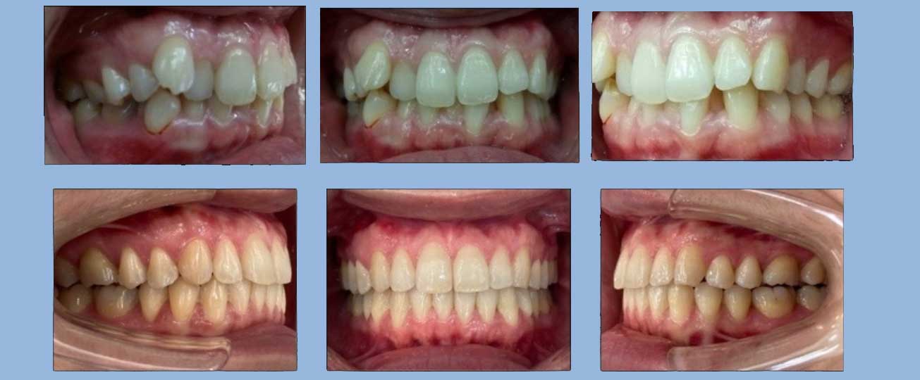
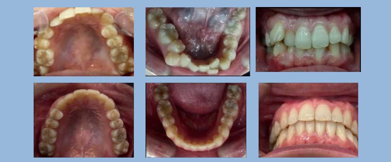
蕭先生 (22歲) 矯正完成
狀態:亂、擠、錯咬、牙周病、沒拔牙


林先生 (22歲) 矯正完成
狀態:牙齒擠、亂、沒拔牙


蔡小姐 (22-24歲) 矯正完成
狀態 : 高犬齒、擠、亂、沒拔牙
.jpg)

彭小姐 (24歲) 矯正完成
狀態 : 擠、高犬齒、沒拔牙


許先生 (24歲) 矯正完成
狀態 : 牙齒擠、暴牙、沒拔牙


潘小姐 (24歲) 暴牙 第一套矯正結束
狀態:沒拔牙


彭小姐 (24歲) 矯正完成
狀態 : 牙齒擠、沒拔牙、中線不正


涂小姐 (25歲) 矯正完成
狀態 : 暴牙、擠、沒拔牙

林小姐 (28歲) 矯正完成
狀態:深咬、很擠很亂、高犬齒、沒拔牙、沒打骨釘


楊小姐 (30歲) 矯正完成
狀態:前牙開咬、擠、沒拔牙


陳小姐 (33歲) 矯正完成
狀態 : 擠、暴牙、不拔牙


許小姐 (34-35歲) 矯正完成
狀態 : 牙齒外翻、缺牙、暴牙、沒拔牙


趙小姐 (36歲) 矯正完成
狀態 : 牙齒凌亂、擠、高犬齒、三十幾歲、沒拔牙


萬先生 (37歲) 矯正完成
狀態 : 門牙歪、擠、缺牙、植牙、沒拔牙


陳小姐 (40歲) 矯正中
狀態 : 擠、沒拔牙


謝小姐 (56歲) 矯正完成
狀態 : 擠、暴牙、牙周病、矯正合併植牙


周女士 (66歲) 矯正完成
狀態 : 暴牙、牙周病、牙縫很大、沒拔牙






